Välilevynpullistuma ja sen hoito

  • Keskustelun aloittaja Keskustelun aloittaja oppilas
  • Aloitettu Aloitettu
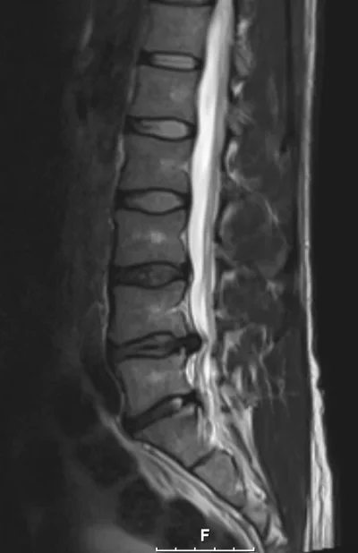
Kuin kaksi marjaa. Kuvien välissä yli 4 kk ja eteenpäin on menty...tai sitten ei. "Kyllä ne välilevynpullistumat itsestään kuivaa pois". "90% välilevynpullistumista paranee oireettomiksi 3 kk:ssa" :jahas: Sinällään jännä juttu että oireet ovat muuttuneet. Nyt en pysty enää istumaan hetkeäkään, mutta kävely onnistuu kivutta jos en istu.

attachment.php


attachment.php
 

Liitteet

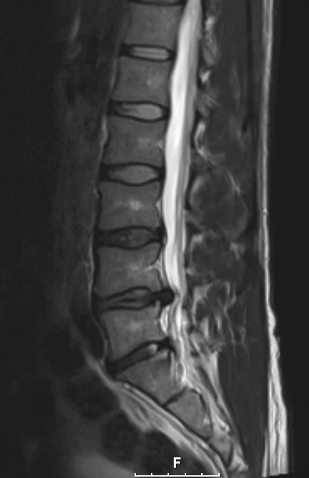
  • selkä3.webp
    selkä3.webp
    28,3 KB · Katsottu: 13 561
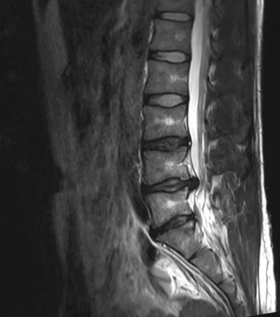
  • selkä1.webp
    selkä1.webp
    14,8 KB · Katsottu: 7 611
^Onpa muuten suora alaselkä. Onko sulle tuosta mainittu mitään?

Mulla taas on ihan järjetön lordoosi alaselässä.
 
^Onpa muuten suora alaselkä. Onko sulle tuosta mainittu mitään?

Mulla taas on ihan järjetön lordoosi alaselässä.

Eipä tuosta mitään ole sanottu. Tuntuu ettei lääkäritkään oikein osaa sanoa mistään mitään. Arvostan lääkäreitä, mutta välillä tuntuu etteivät oikeasti kuuntele mitä niille sanoo. Pari viime viikkoa olen työpäivän jälkeen maannut vaan selälläni lattialla ja ilmeisesti se on jotain auttanut, tai sitten se on vain sattumaa. Tuntuu että lihasjumit olisivat helpottaneet huomattavasti selästä ja/tai pakarasta. Aamut ovat nyt olleet selvästi helpompia vajaan viikon ja pystyn seisomaan ja kävelemään nyt lähes kivutta, aamusta alkaen. Istuminen puolestaan alkaa lyhyenkin ajan jälkeen heti säteilemään kipua nilkkaan ja lonkkaan. Selällään ja mahallaan pystyy nukkumaan kivutta, mutta kyljellään taas alkaa kipuilu jostain syystä. Kai tämä nyt jotain edistymistä silti on.
 
Eipä tuosta mitään ole sanottu. Tuntuu ettei lääkäritkään oikein osaa sanoa mistään mitään. Arvostan lääkäreitä, mutta välillä tuntuu etteivät oikeasti kuuntele mitä niille sanoo. Pari viime viikkoa olen työpäivän jälkeen maannut vaan selälläni lattialla ja ilmeisesti se on jotain auttanut, tai sitten se on vain sattumaa. Tuntuu että lihasjumit olisivat helpottaneet huomattavasti selästä ja/tai pakarasta. Aamut ovat nyt olleet selvästi helpompia vajaan viikon ja pystyn seisomaan ja kävelemään nyt lähes kivutta, aamusta alkaen. Istuminen puolestaan alkaa lyhyenkin ajan jälkeen heti säteilemään kipua nilkkaan ja lonkkaan. Selällään ja mahallaan pystyy nukkumaan kivutta, mutta kyljellään taas alkaa kipuilu jostain syystä. Kai tämä nyt jotain edistymistä silti on.

Lääkäreiden tehtävä on päättää leikataanko vai lääkitäänkö, fyssarit sitten kertoo mitä saa/ei saa/pitää/ei pidä tehdä. Tai tää kuva mulle on muodostunu.
 
Lääkäreiden tehtävä on päättää leikataanko vai lääkitäänkö, fyssarit sitten kertoo mitä saa/ei saa/pitää/ei pidä tehdä. Tai tää kuva mulle on muodostunu.

Lääkäreiden tehtävänä on laskuttaa 80€/20 min ja olla sanomatta mitään järkevää tai jotain, mistä olisi apua ;) No onhan sitä erittäin hyvää palvelua saanut yksityisellä puolella.

Lekuri sanoi näiden viime kuvien jälkeen ettei kuvien perusteella mitään edistymistä/muutosta, mutta ei sitä kuvia leikata vaan oireita. On tosiaan jännä juttu miten kuvat on lähes identtiset 4 kk välillä, mutta nyt selkä on viikossa parantunut huomattavasti. Viime viikon maanantaina selkä oli kivuliain mitä se on koskaan aikaisemmin ollut. Makasin noroviruksen takia vessan lattialla yön yli ja seuraavana päivänä en pystynyt liikkumaan. Viikko sitten sattui niin saatanasti istua magneettikuvien jälkeen bussissa, mutta viikonloppuna kävin ensimmäistä kertaa tänä talvena lautailemassa. Itseasiassa kävin kahtena päivänä lautailemassa. Laskin lähes täydellä teholla, koska ajattelin ottaa komeasti viimeisen kerran kun olen laudan päällä. No, eipä tuo mennyt alkuunkaan huonommaksi.

Tuntuu että pystyn nyt istumaankin paremmin, mutta olen toisaalta seissyt töissä suurimman osan. Kävely on onnistunut käytännössä kivuitta jo noin viikon. Lekuri sanoi ettei kannata odottaa ihmeparantumista, koska vaiva on kestänyt näin pitkään. Sellaiselta tämä nyt kuitenkin alkaa tuntua, vaikka eihän tuo nyt täysin kunnossa todellakaan ole. On vain hieno tunne kuin ei ole sitä jatkuvaa hermosärkyä. Luulen että suurin apu on ollut selällään lattialla makaamisesta ja välillä samalla kevyesti venyttäen. Se on jotenkin venyttänyt ja oikaissut selkä selvästi. Ei tuotakaan kukaan neuvonut, vaan itse sovelsin. Täytyy nyt toivoa ettei tule pahasti takapakkia, tai voi olla että sitten menee yläkertakin jo huonoon kuntoon. Itse toivon että olisi suoraan sanottu että vähintään 6 kk, niin voi aikaisintaan odottaa että jotain voisi tapahtua. Mielellään niin, että voi olla vuoden pari projekti saada paikat jotenkin kondikseen. Tuollainen 3 kk ja kuntoon tuntuu paskapuheelta, tai sitten se selkä ei oikeasti ole kovin huonona...tai mulla on vaan huonot geenit.
 
Inska missä ja miten tuo sun selkäs hajosi?

Itse asiassa en osaa edes tarkasti sanoa. Kesällä töissä istuessa selkä aluksi kipeytyi ja väsyi. Sitten alkoi lonkkasärky seisoessa. Tähän aikaa tein viikonloppuisin aivan jumalattomasti lapiohommia ja muistan että selkä oli ihan "loppu" monta kertaa iltaisin. Jatkoin salilla käyntiä kuitenkin normaalisti (omaa tyhmyyttäni) ja mavessa kerran tuntui pieni vihlaisu, mutta en muista olisiko tuo pahentanut tilannetta. Sama juttu syksymmällä kerran kyykyssä. Syys-lokakuussa alkoi kävelykin mennä vaikeaksi ja hermosärky meni jalassa alemmaksi koko ajan. Tässä vaiheessa lopetin maven, kyykyt, jne. Marraskuun alussa meni samanpuolen olkapää "itsestään" ja lopetin salilla käynnin kokonaan. Diagnosoitiin ahdas olkapää ja luulen että se on seurausta selän tuomasta virheasennosta. Olkapää vaivaa edelleen, mutta on ehkä hieman parempi jo. Talven tultua alkoi selän pahat aamujumit ja kivut muuttuivat pahemmiksi. Viime kuukauden kovimmat hermosäryt ovat olleet nilkan seutuvilla ja lonkka on ikäänkuin "muljahtanut" kun käänsi kylkeä. Ikäänkuin hermo olisi jäänyt jonnekkin väliin. Eli kokonaisuutena paheni hitaasti kesästä asti ja sitten yhden viikon aikana todella selvä muutos kivuttomampaan suuntaan. Missään vaiheessa ei kuitenkaan ole ollut mitään todella kovaa jatkuvaa kipua. Sellaista kuitenkin, että kirosanat on lentäneet.
 
Tuollainen 3 kk ja kuntoon tuntuu paskapuheelta, tai sitten se selkä ei oikeasti ole kovin huonona...tai mulla on vaan huonot geenit.

Se voi hyvin olla, että jos välilevy pullahtaa kevyesti, tajuat sen välittömästi, alat välittömästi suojeleen sitä ja vedät kaiken kompressoivan treenin sijaan pelkästään vesijuoksua/kävelylenkkiä ja jotain McKenzietä niin mahollista on että 3kk aikana on selkä oireeton.

Miksi viimeisen kerran laudan päällä?

Itellä on välilevy revennyt, mutta tuota pullahtanutta massaa ei ole nimeksikään. Ei issiäsvaivoja, ei kompressiota mihinkään hermojuureen, ei mitään, mutta silti jossain tuolla alaselän alueella aina välillä tuntuu menevän joku rakenne jumiin, eikä se tunnu yhtään lihasperäiseltä. Tuntuu, että kun ottaa tuolista kiinni ja kiertää vähäsen, niin justiinsa pääkallopaikalla pamahtaa joku ja tuntuu taas vähän paremmalta. Fasetti ilmeisesti, ja ihan järjettömän yliliikkuvat nikamat jne jne.

Mitä oon nyt lukenut sun tuota pullistumakeissiä, niin pakko nostaa hattua. Oot melko soturi. :)
 
Sen verran päivitystä ettei mun tilanne ole muuttunut juuri mihinkään. Lyrican annostus oli välistä maksimit, mutta viime kuun vaihteessa yritettiin laskea. Ilmeisesti juuri sen ns. "3kk säännön" takia jonka aikana suurin osa pullistumista helpottaa. (Ensimmäiset oireethan alkoivat jo kesällä, mut "hoito" lokakuussa) Minun kohdalla oireet alkoivat paistamaan lääkityksen vähentämisen jälkeen läpi uudestaan. Eli lääkitystä ei voitu laskea ja sitä nostettiin takaisin ylöspäin jotta oireet pysyy poissa. Kattoo nyt, sain uuden fyssarin yhteystiedot jonka pitäis olla aika guru selän ongelmien kanssa. Pitäisi vaan saada aikaiseksi käydä jotta onko hänellä mitään parempia ohjeita kuin OMT:llä jolla olen käynyt. Tuolla fyssarilla on nimittäin loppunut keinot, joten nyt teen pääsääntöisesti vain omaharjotteita. Kukaan ei ole puhunut minun tapauksessa pakaran/takareisien kireyksistä mutta nuokin vois olla ihan kokeiltavia juttuja. Toki pullistumahan minulla on ylhäällä kaularangassa, toisin kuin Inskalla että onkohan mitään vaikutusta..
 
2 nikamassa itsellä kans ongelmia. Toisessa tais olla centraali prolapsi ja toisessa jotain muuta. Nyt 4 sairauslomaviikko menossa, ja arcoxi kuuri syöty. Onneks pääsee yksityisellä painamaan ja duunin kautta 10k € vakuutus.

Pitää vaan pikku hiljaa alkaa itsekkin hyväksyyn faktat ton selän suhteen :/. Omissa käsissähän sen toimivuus on sitten jatkossa. Fysiatri totes kyl siihen suuntaan, että 40-60v tuun käymään leikkauksen läpi!

Onko muille muuten määrätty sirdaludeja? Mulla oli noita 4mg ja ihan suoraan tuli pumppuun rytmihäiriöitä. Niistä toiselle lääkärille mainitsin ja hän sanoi ettei ole niitä useaan vuoteen määrännyt just siitä syystä.
 
Minulla oli Sirdaludeja, mutta niistä ei ollut minulle mitään vaikutusta. Ne vaihdettiinkin johonkin toiseen lääkkeeseen (Norgeflex tjsp.) eikä niistäkään ollut vaikutusta. Oikeastaan ainoa toimiva lääke oli Panacod. Ihmeellistä miten eri tavalla eri lääkkeet vaikuttavat ihmisiin. Nuo ensin mainitut eivät siis tosiaankaan relaksoineet minua oikein mitenkään eivätkä vaikuttaneet kipuun.

Leikkauksen jälkeen ei tarvinut mitään lääkkeitä. Tai no Tramalia sain suoneen leikkauksen jälkeen yöllä, mutta siitäpä tulikin yrjö. Se on eri tarina se ;)

Nyt on taas pitänyt syödä noita pillereitä jonkun verran. Kipu ei säteile juurikaan yhtään, mutta alaselkä on jäykkä ja arka. Viime viikolla koko selkä oli aivan järjettömässä krampissa koko ajan niin, että liikkuminen oli hankalaa. Salilla kun pumppaili alaselkää hitaasti ja huolella, niin selkä pehmeni. Mutta heti aamusta tai pitkän sohvasession jälkeen oli jumi taas tosiasia.
 
Mulla meni selkä 6 vuotta sitten, omasta mielestä prässissä vaikka lääkäri väittikin, ettei oo mahollista. Määräs Panacodeja, mutta eihän ne mitään auttanu. On siis alaselässä 2 välilevyn pullistumaa. Lääkäri sano, että leikataan, sitten ku olin 10kk ollu käymättä salilla ja tuli leikkauksen aika, leikkaava lääkäri sanokin, ettei lähe noin nuorta leikkaamaan ja sano, että salille vaan takasin.

Siitä lähtien selkä meni parempaan suuntaan. Kyllähän tuo melkein päivittäin muistuttelee itestään. Joskus kun tekee kyykkyjä ym. kipeytyy taas enempi, mutta onneks vaan hetkellisesti. Vasempaan jalkaan se sillon aikanaan säteili. Nykyään tuo vasen jalka on vähän outo, nilkka jotenki jumissa tai jotain, vähän väliä rusahtelee kun pyörittelee...

Tuota maastavetoa en edes uskaltanu vuosiin miettiä. Sitten kokeilin maastavetoa siten, että en laske tankoa alas asti vaan stoppaan polven alapuolelle. Hyvin pystyy tekemään. Lisäksi vatsa- ja kylkilihasten treenaminen jeesaa...

Ainiin, vältän myös treenaamasta jalkoja tai selkää aamuisin kun on vielä nukkumisen jäljiltä jäykkyyttä.
 
Sehän näissä on perseestä, ettei hoitoa tahdo oikein saada mitenkään. Ainakaan jos olet ns. tavis. Sanopa olevasi joku jääkendoilija tai jalkapallisti, niin jo kuvataan magneetilla joka päivä ja ravataan experteillä hieronnoissa. Minulla lääkärit lähinnä kysyy, että haittaako pahasti työntekoa. Ai haittaa? No voi voi, ota buranaa. Katsellaan 6kk päästä uudelleen.

Ihan off-topic ja valittamisen ilosta. Menin lääkäriin silmässä olevan patin takia. 1 viikon jonotuksen jälkeen sainkin ajan silmälääkärille. 5kk päähän. Kyllä olis kirveellä hommia tässä maassa.
 
Uutta mun tapauksessa. Työnantaja soitti ja ehdotti kelan uudelleen koulutusta :). No sehän passaa ! Sairauslomalaa jatketaan ainakin 2kk eteenpäin ja ruvetaan opiskelupaikkaa katteleen.

Toivottavasti natsais tää homma. Pakko myöntää itselle, että aika paskaks vetää tää jatkuva oireilu ja saikuttelu. Koko pienen ikänsä aina harrastellu ja nyt yht.äkkiä pitää sopeutua uuteen.. Työkin on niin aivot narikkaan kamaa, että henkinenkin puoli varmaan näkis taas uutta valoa :).
 
Se voi hyvin olla, että jos välilevy pullahtaa kevyesti, tajuat sen välittömästi, alat välittömästi suojeleen sitä ja vedät kaiken kompressoivan treenin sijaan pelkästään vesijuoksua/kävelylenkkiä ja jotain McKenzietä niin mahollista on että 3kk aikana on selkä oireeton.

Miksi viimeisen kerran laudan päällä?

Itellä on välilevy revennyt, mutta tuota pullahtanutta massaa ei ole nimeksikään. Ei issiäsvaivoja, ei kompressiota mihinkään hermojuureen, ei mitään, mutta silti jossain tuolla alaselän alueella aina välillä tuntuu menevän joku rakenne jumiin, eikä se tunnu yhtään lihasperäiseltä. Tuntuu, että kun ottaa tuolista kiinni ja kiertää vähäsen, niin justiinsa pääkallopaikalla pamahtaa joku ja tuntuu taas vähän paremmalta. Fasetti ilmeisesti, ja ihan järjettömän yliliikkuvat nikamat jne jne.

Mitä oon nyt lukenut sun tuota pullistumakeissiä, niin pakko nostaa hattua. Oot melko soturi. :)

Viimeistä kertaa lähinnä sen takia, etten usko(nut) tästä enää koskaan pääseväni 100% kuntoon. Lautailu ottaa tuonne selkään aika kovasti (ainakin mun laskutyylillä) ja tämä taisi olla neljäs pullistuma samassa välissä. Tosin pullistuman puolet ovat vaihdelleet. Pitänee muuttaa elämäntyyliä aika radikaalisti tämän jälkeen, tai olen sitä jo tehnytkin. Vaikkei tämä todellakaan mikään maailmanlopun vamma ole, avasi se silmiä tällä kertaa aivan erilailla.


Tilannepäivitystä sen verran, että kipu on edelleen pysynyt hyvin vähäisenä. Välillä ei vaivaa edes huomaakkaan. Autossakin pystyn istumaan, jos laitan ristiselän ja penkin välliin sellaisen kangaspussin, missä on herneitä tjsp. sisällä. Siis sellainen mitä voi lämmittää ja heittää sen vaikka hartioille. Alan uskoa että pahimmat kivut aiheutuivat lihasjumista/-jumeista. Selän lihakset ovat selvästi vähemmän krampissa nyt. Pari viikkoa sitten tuo kipen kohdan nikama törrötti jotenkin toispuoleisesti ulompana ihan silmän nähden. Jos makasi kovalla lattialla niin nikaman reunan tunsi inhottavasti lattiaa vasten. En tiedä mistä tuo johtui, mutta on siis asettunut jo.

Lisäksi kun meni selälleen maaten, en pystynyt rentouttamaan pakaralihaksia ilman tuskaa ja välillä homma jäi kesken. Erityisesti öisin tuo paheni ja ei pystynyt nukkumaan kuin yhdellä kyljellä. Varmaan kuukauden päivät harjoitin selän ja pakaroiden rentouttamista: Eli kovalle lattialle (tai ohuen patjan päälle) lattialle selälleen. Rauhallisesti hengittäen yritti rentouttaa "ajatuksen voimalla" selkälihakset ylhäältä alaspäin. Kädet pään päälle niin, että pidän molemmista kyynärpäistä kiinni. Samalla pyrkii "oikaisemaan" selkää hyvin kevyesti. Tuolloin alkaa tuntua pieni venytys alaselässä. Sitten rauhallisesti yrittää rentouttaa/päästää pakaralihkaset ihan rennoiksi. Pahimmillaan tuohon meni 5-10 min, mutta selvästi tuo auttoi saamaan lihasjumit auki kun liikettä / venytystä teki riittävän pitkään ja usein. Kun kankun sai rennoksi, katosi kipu ja pystyi makaamaan selällään kivutta. Ei ole mikään fyssarin ohjeistama liike, vaan ihan oma patentti.

Radiologin lausunnon mukaan siis prolapsi on kasvanut jonkun verran edelliseen kuvaan verrattuna ja sen takia paikat ovat voimaakkasti ahtautuneet. En todellakaan valita, mutta omituista kieltämättä että oireet ovat nyt helpottaneet. Jalkaa en pysty edelleenkään nostamaan aamulla kuin sen noin 30-40 cm ylöspäin. Iltapäivällä jalka heilahtaa kivutta 90-asteen kulmaan. Tunto on tallella, mutta akillesjänteen refleksi edelleen död ja tuskin enää palautuu koskaan. Mutta ei sillä mitään virkaa muutenkaan ole. Tästä on hyvä jatkaa kohti uusia loukkaantumisia :)

edit: aika reilusti on painoakin lähtenyt kesästä. Erityisesti kankku ja reidet on pienentyneet. Farkkukoko on tätä nykyä jo 31, mutta toisaalta yllättävän rasvattomassa kunnossa sitä on pysynyt. Johtuu varmaan siitä ettei oikein ole päässyt käymään kaupassa :D
 
Monologi jatkuu, mutta kun on tullut niin paljon valitettua jo asian tiimoilta, pitänee kirjoitella positiivisempiakin asioita. Selkä on koko ajan paremmassa kunnossa ja oikeastaan vain istuessa saattaa säteillä hieman hermosärkyä pohkeen yläosaan. Tämänkin kivun saa heti katomaan heti jos oikaisee ryhdin, eli "työntää rintalihakset eteenpäin". Sohvalla ei kuitenkaan oikein pysty istumaan. Löysin myös sängyn, jossa nukkuminen onnistuu käytännössä joka asennossa. Itselläni on kaksi erilaista "hyvää" joustinpatjasänkyä, mutta kummassakaan ei nukkuminen onnistu. Ikeasta ostin niiden kovimmaan vaahtomuovipatjan ja sille varavuoteen. Pelkkä patja ei toimi, mutta varavuoteen sälepohja yhdistettynä tuohon kovaan patjaan on pumpulia selälle.

On edelleen täysi mysteeri mitä tapahtui tuon yhden viikon aikana jolloin hermosäryt asettuivat. Varsinkin kun kuvissa tilanne oli pahentunut. Olkapääkin on alkanut asettua ja penkkipunnerrusta lukuunottamatta pystyy melko hyvin treenaamaan. Jalkojen treenaus pitää laittaa ihan uusiksi ja maastavedot jätän jatkossa kokonaan pois. Todennäköisesti myös prässit ja kyykyt. Jalat katoaa, mutta keskityn sitten vaikka uintiin ja kestävyyteen. Jatkan venyttelyä ja pilatesliikkeitä treenien välipäivinä.
 

Liitteet

  • patja1.webp
    patja1.webp
    110,1 KB · Katsottu: 947
  • patja2.webp
    patja2.webp
    64,1 KB · Katsottu: 1 056
Sivusta seuranneena pakkoa sanoa: Oon tosi ilonen puolestas, että vaiva parantuu. Suorastaan ahdistavaa lukea noita aiempia juttuja. Ja joku jalkojen treenaus nyt on yks ja sama. Mun mielestä sen pitäis palvella vain ja ainoastaan selän/alakropan kuntoutusta ja kivuttomana pysymistä. Ihan sama onko siellä lihasta vai ei. Hauis se kuitenkin vaan näkyy ja penkkiä kysytään :) Tälläsessä tilanteessa varsinkin.
 
Täällä yksi pullistelevien välilevyjen kanssa kamppaileva... alkuvuodesta iski karmee polttava päänsärky ja rinnassa tuntuva lamaannuttava kipu, selvisi hermosäryksi joka johtuu välilevyn pullistumasta yläselässä. McKenzien ohjeilla venyttelemällä selvisin melko nopeesti pinteestä kunnes nyt vaiva alkoi taas. Ehkä oon varonu tota yläselän käyttöä ja se kostautuu sillä kipu on nyt alaselässä. Aluksi naksahtelua kumartuessa, sitten alkoi kipu ja paineen tunne. Noh, venytyksiä tunnin välein, kipu helpottaa seistessä mutta makaaminen ja istuminen on ihan hirveetä, paineen tunne on valtava. :face: Tsemppiä muille, kuulostaa siltä että omani on vielä niiiin pientä verrattuna muiden pullisteleviin välilevyihin! :thumbs:
 
Back
Ylös Bottom