Välilevynpullistuma ja sen hoito

  • Keskustelun aloittaja Keskustelun aloittaja oppilas
  • Aloitettu Aloitettu
Eilisen tilanne magneetissa. Oikeasssa kankussa/lonkan seudulla ollut keväästä asti särkyä ulkokierrossa ja selällään on ollut vaikea maata. Tai oikeastaan mahdotonta niin että kankku ei olisi pienessä jännityksessä. Välillä kipu säteilee nilkkaan. Kuitenkin tuon kanssa on pystynyt elämään ja liikkumaankin kohtuullisesti.

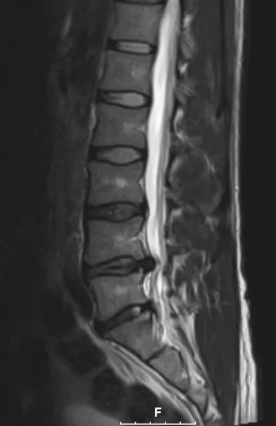
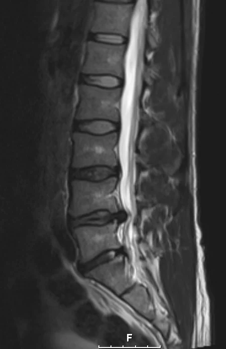
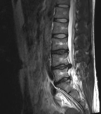
Olen ollut sitä mieltä että kipu on lihasperäistä (tulehduksesta esim. ja liiasta autossa ja tuolilla istumisesta toimistotyöstä johtuen) ja olen sitä mieltä edelleen. Oikeastihan tuo pullistuma (joka on vasemmalla puolella) on kuvissa pahentunut, mutta vasemmalle puolelle ei kipua ole käytännössä ole ollut enää kevään jälkeen. Yksi selkä, yksi elämä. Kuvissa lokakuu 2012, maaliskuu 2013 ja joulukuu 2013.
 

Liitteet

  • selkä4.webp
    selkä4.webp
    26,8 KB · Katsottu: 3 134
  • selkä3.webp
    selkä3.webp
    28,3 KB · Katsottu: 4 363
  • selkä1.webp
    selkä1.webp
    14,8 KB · Katsottu: 2 784
Jaetaan täältäkin yksi kokemus jos jollekin olisi hyödyksi.

Noin vuoden verran välillä pahemmasta ja välillä vähemmän pahasta oikean puolen takareisi-pohjejumista kärsineenä kävin useamman kerran hierojalla availemassa sietämättömäksi yltyneitä pohkeita kuvitellen syyn olevan huonossa työergonomiassa, tennareissa ja laiskassa venyttelyssä. Hieronta auttoi aina pariksi päiväksi mutta jumi ja krooninen kipu palasivat. Fillarointi ja venyttely auttoivat myös hetkellisesti takareiden ja selän jumeihin mutta iltaa kohden tai viimeistään aamulla olivat paikat taas yhtä lukossa ja kipu säteili "viivaa" pitkin koko jalkaan. Salilla käynti alkoi lähinnä ottaa päähän kun alakropasta ei tuntunut saavan tehoja irti, ymmärsin toki että kaikki ei ihan kunnossa ole joten en väkisin lähtenyt repimään, korkeintaan mavessa vähän..

Lääkärille mentyäni sain lähetteen röntgeniin jossa suljettiin lantion virheasento pois. Tämän jälkeen fyssarille joka tunnin pyörittelin ja vääntelyn jälkeen totesi että kyseessä varsin selkeästi hermopinne selässä johtuen pullistumasta joka vetää alaselän lihakset suojakramppiin ja painaa hermoa joka säteilee jalkaa pitkin. Tuo krooninen selkäkramppi oli joko turruttanut tai muuten vaan en ollut tajunnut kuinka paha jumi on kyseessä, fyssarin mukaan ei todellakaan ihme jos ei treeni ole kulkenut normaalisti, tai että ei ollut pahemmin vielä käynyt. Olisi voinut toki käydä lekurilla jo muutama kuukausi aiemmin..

Nyt mave tauolla, kyykyt jumppapainoilla ja prässissä vähän rohkeammin kun selkä on tuettuna, sama rajoite penkin ym suhteen eli aika varovasti pitää vetää. Fyssari teki hiton hyvän ohjelman alaselän avaamiseksi ja kevyet harjoitteet jotka paperilla näyttävät naurettavilta ovat kyllä tuskaisen tehokkaita ja osuvat sinne mihin pitääkin. Kuukausi näillä ja sitten tilannekatsaus uudelleen. Ymmärtääkseni vielä niin pieni vaiva että pitäisi saada kuntoon eikä haittaa tulevaisuudessa kun pitää keskikropan kunnossa ja panostaa lihashuoltoon. Toki riski on aina suurempi mutta pieniähän nämä :)

Vinkkinä siis kärsiville että rohkeasti suoraan vaan lääkäriin ja fyssarille! Teille repeämistä ja vakavammista pullistumista kärsiville tsemppiä kuntoutukseen.
 
^ terveyskeskuslääkärille ei varmaan kannata lähtee jos oikeesti haluaa apua..
Sieltä ei tuu ku relaksantteja ja kipulääkettä. (tosin näin ne tuppaa tekemään yksityiselläkin jos menet vaan selkää valittamaan)

Myöskään ei pitäisi olla perinnöllistä, näin sanoi lääkäri, kun kyselin asiasta ja sanoin faijalta on leikattu välilevynpullistuma.
 
Kävin tänään #2 fysiatrilla ja oli sitä mieltä ettei vielä leikkaisi selkää, vaan kannattaisi yrittää mennä pari vuotta ja katsoa missä ollaan sitten kun on tälläinen historia. Eli useampi pullistuma ja nyt viimeisin näin paha. Itse olen samaa mieltä. Onhan se hyvin turhauttavaa, kun kesä meni paremmin ja sitten tuli taas takapakkia, enkä edes tiedä minkä takia. Ensimmäinen fysiatri suositteli puolestaan leikkausta.

Lekurille oli tunnin aika ja tuossa kerkesi jo oikeasti tutkia melko hyvin, lääkärillä oli aikaa kuunnella ja selittää teoriaa melko ymmärrettävästi. Tosin laskukin oli sellaiset 250€. Tuo oma pullistuma on jäätävän kokoinen kun sitä katsoo päältäpäin otetusta kuvasta. Siltikin on mielenkiintoista miten vasemmallapuolella ei ole oireita, vaikka pullistuma on siellä ja painaa selvästi hermoa. Oli myös lohdullista kuulla että jos tuo leikataan, ei kauheasti tartte ottaa stressiä siitä että pullistuma uusiutuu. Nimittäin ei ole enää sen jälkeen mitään mitä pullistua ulos. Kuvissa näkee miten ylemmässä välissä on ollut tuo annulusvaurio 9kk ajan, eikä sekään ole siitä mihinkään korjaantunut.
 
Myöskään ei pitäisi olla perinnöllistä, näin sanoi lääkäri, kun kyselin asiasta ja sanoin faijalta on leikattu välilevynpullistuma.

Minulle taas erikoislääkäri sanoi (2012 kun tutkittiin) että voi hyvinkin olla perinnöllistä. Kyllähän DNA määrää myös välilevyjenkin rakenteen. Niin sanoin siinä sitte että isältäni tosiaan on 7 vuotta sitten leikattu välilevy yhden nikaman ylempää, isän isällä on ollu kans useampi muttei ole vissiin leikattu koskaan. Serkulla, isän puolelta leikattiin välilevy viime vuonna. Itse vielä onneksi välttyny siltä ja kerkes tuo olla puolisen vuotta ihan hyvänäkin, nyt joulun aikaan jotain pientä oiretta taas tullu. Et pienellä varauksella tässä ollaan et tarviiko lähtä taas tutkittavaksi että onko välilevy taas vai onko jokin muu vaiva.
 
Siltikin on mielenkiintoista miten vasemmallapuolella ei ole oireita, vaikka pullistuma on siellä ja painaa selvästi hermoa.

Itsellä on samankaltainen tilanne. Kuvien mukaan isohko pullistuma vasemmalle, mutta oireet on kumminkin oikealla puolella, eikä mitään selvää leikeltävää ole. Oikean puolen piriformiksen venyttely ja hieronta tuo helpotusta oireisiin.
 
Täälä kans pelaillaan selkävaivojen kanssa. Oma tilanne on sellainen, että alaselkä kipuilee aina treenaamisen jälkeen ja kipuilee noin pari päivää mutta muuten selässä kaikki tuntuu olevan ok. Kipu tuntuu ehkä hieman enemmän vasemmalla puolella ja samaan aikaan esiintynyt jo jonkun aikaa myös sisäreiden, pakaran ja nivusten säteilevää kipua. Käynyt nivuskipujen kanssa lääkärissä ja sanoi, että ole huoleti ja ota buranaa särkyyn. Myös hierojalla kävin kerran joka sanoi, että alaselkä on hieman jumissa mutta sen kummempaa ei osannut sanoa. Kaikki alkoi muistaakseni pari kuukautta sitten kun avasin oven ja selässä vihlaisi jotenkin ikävästi. Ehdotuksia?
 
Itellä on tässä pari vuotta ollut noidannuoliongelmaa. Ei jatkuvaa särkyä, mutta varoa on saannut, koska nuoli on napsahtanut just sillon kun sitä huvittaa. Viimesen vuoden kuluessa sillalailla, että alaselkä on ollut väsynyt treeneistä/seisomisesta/paljosta työnteosta yms., ja aikansa kun se on kiukutellut niin aamulla herätessä selkä on n. 90 asteen kulmassa ja kivut kamalat.

Noh, tasan 6vk sitten vasen jalka alkoi puristua, päivässä parissa eteni puristus pohkeeseen. Viikon verran sinnitelin satunnaisilla relaksanttien nappailuilla, kunnes meni kouluterkkarin päivystykseen että pääsisin lääkärille. Ei kuulemma tarvita lääkäriä kun ei alaraajan tukoksen merkkejä. Itselläkään ei edes tullut mieleen mikään pullistuma, koska selässä ei ollut kuin kerran pari päivässä pientä tuntemusta. Vajaan viikon päästä romahdin henkisesti kun kipu vaan yltyi ja oli jatkuvaa, enkä enää voinut istua. Sain päivystyksestä panacodit ja ketomexiä sekä fyssaria, ja sanottiin että aika varma pullistuma mutta menee ohi kyllä. Ja tähän väliin on pakko huomauttaa, että panacodit on ollut pelastus. Ei täysin kivuttomaksi tee, mutta niillä nukuin ja nukun edelleen, samoin se kituuttava särky pienenee radikaalisti. Tällöin puristus oli pikkuvarpaassa asti, ja ulkosyrjällä heikentynyt tunto polvesta alaspäin. Pääsin fyssarille heti seuraavana päivänä ja kahden päivän päästä siitä uudelleen. Akutti kipu hieman hellitti, mutta 4 päivän päästä päivystyksestä heräsin kamaliimpaan tuskaan mitä voi olla. Olin välittömästi tuskan hiestä märkä ja raahauduin jotenkin pari senttiä kerrallaan muitten luo että soittaa heti ambulanssin. Ensihoito veti suoneen kovat aineet että sai mut makuulleen ambulanssiin. Ensiavus piikitettiin lääkkeet suoraan pakaraan. Ottivat yöksi osastolle, ja sitten kotiin. Sairaalareissun jälkeen oireet muuttui niin että vain terveellä kyljellä makuu on ok, jo pystyasentoon nousu toi hirveän puristuksen ja tuskan. Ennen sairaalaa vain kävely oli hyvä, mikään muu ei selälle ja jalalle kelvannut.

Tänään oli pientä ihmeparantumisen merkkiä. Menin kouluun vaikka olen saikulla. Aamu oli hankala, mutta olin päättänyt mennä ja kokeilla rajoja. Pystyin istumaan sen kokonaiset 4 h ruokatauolla ja yhdellä omalla jaloittelulla. Ja kävely ei aamun jälkeen puristanu juuri nimeksikään, tuntui hyvältä. Maaginen ensimmäinen 6 vk rajako?! Nyt illalla taas särki kävellessä, mutta lääkkeet eivät toisaalta enää ole vaikuttamassa. Se että olen 3 vk tässä syönyt maksimeja lääkkeitä, en ole pystynyt kuin vain käymään vessassa ja hädin tuskin suihkussa.

Magneettiin on mulla kiireellinen lähete julkiselle puolelle, ja huomenna soittelen perään, et koska pääsee. Ongelma ja huolenaihe on, että 3kk päästä pitäisi mennä 2 kuukaudeksi sairaalaan harkkaan, ja opettaja tänään sanoi että siihen mennessä pitää koulussa pystyä suorittamaan kaikki ja olemaan paikalla, sekä harkassa pitää pystyä nostamaan potilaita. Mitenköhän tulee onnistumaan..?
 
Todennäköisesti 3kk päästä olet ihan kunnossa. Mutta voihan noi pitkittyä ja uusiutua. Itsellä noin 15 vuoden selkävaivahistoria. 4 välilevyä paukkunut yhteensä lannerangasta. Mulla kanssa oirekuva elänyt paljon. Ei aina mitenkään suoraviivaisesti parane ja helpota vaan silleen välillä takapakkia tehden. Pelkkä aivastaminen saattoi jo hyvin parantuneen selän viedä taas muutamaksi päiväksi siihen kuntoon että ryömimällä liikuttiin. Kuinka tuonne magneettiin sait lähetteen? Onko ihan leikkausharkintaa vai. Nykyäänhän noiden leikkausmäärät ovat tainneet romahtaa 10 vuoden takaisesta ajasta. Keskivartalon lihasten treenaamisen olen nähnyt olennaisimmaksi uusiutumisen ehkäisyksi. Monipuolista jumppaa harva se päivä.
 
Minulla oli 4,5 vuotta sitten niskassa pieni, mutta aktiivinen pullistuma. Toinen käsi oli hyvin voimaton joitain viikkoja. Fyysisestä työstä ja salilta tuli olla vain 5 viikkoa pois ja sen jälkeen palasin arkeen... tosin askel kerrallaan ja tunnustelen. Jenkkifutiskentälle en enää palannut... vaikka asia edelleenkin kiinnostaisi niin perkeleesti. Yläselkätreenit ja penkki ovat olleet hyvin paikallaan junnaavia tuon vamman jälkeen. Onko vastaavasta kokemusta muilla niskan välilevynpullistumasta selvinneillä? Olen kuullut, että melko yleistä tuollainen. Kipuja tulee 2-6 kk välein, mutta menevät ohi 1-4 päivässä lääkkeillä sekä sillä, että palaa sinne salille ja teen tuntemusten mukaan. Pariin kertaan mukana on ollut ponnistuspäänsärkyjä. Rajumpaa takapakkia ei ole tullut, mutta tosiaan tietyt liikkeet ovat hyvin haastavia saada kehittymään.
 
Älyttömän mahtavaa kuulla, että vois olla 3 kk:n päästä kunnossa. Siihen pyrin ja tää tsemppaa kyl lisää viel harjottaan tuota selkää hulluna. Mä sain sen sillä, kun ambulanssilla tosiaan roudattiin päivystykseen ja osastolle. Osastolle sain jäädä siksi, kun tiesin sanoa, etten autoon pääse vaikka sänky on kotonakin. Sitten seuraavana päivänä lekuri tuli sanomaan, et kun tässä kaks päivää on mua jouduttu lääkitseen huumaavilla napeilla niin täytyy se kuvata ja selvittää, koska 24 v. naisella ei kuulu olla tollasia kipuja. Eli osastollakin kattelin kelloa, koska kehtaan pyytää uutta kipulääkettä, kun säryt oli koko ajan hirveet, ja toiset napeista ei auttanu ollenkaan. Ite en kerennyt edes pyytämään missään vaiheessa kuvia, koska opiskelen sitä alaa, ja tutut on hinnat ja säännöt noissa. Ihan sama ehdottavatko leikkausta, tän hetkisten lukemisien ja olojen perusteella en sitä ota. Kirurgian polilla en oo edes käynyt, vaikka sinne lähete laitettiinki. Soitin sinne viime viikolla, ja sanoivat että se on suoraan muutettu MRI -kuvaks. En valita. :D

Näyttäs tällä hetkellä myös siltä, että ensimmäinen ilta 6 viikkoon kun ei tarvi ottaa mitään lääkettä, et pääsee nukkuun. Tää on yhtäkkiä niin pelottavan paljon kivuttomampi et ihan ymmälläni. Se on sit taas eriasia kun herään kuitenki tuttuun tapaan aamuyöllä kipuun, ja huominen on sitte taas uus päivä ja 10 askelta saattaa mennä vaikka takapakkia.
 
Minulla oli 4,5 vuotta sitten niskassa pieni, mutta aktiivinen pullistuma. Toinen käsi oli hyvin voimaton joitain viikkoja. Fyysisestä työstä ja salilta tuli olla vain 5 viikkoa pois ja sen jälkeen palasin arkeen... tosin askel kerrallaan ja tunnustelen. Jenkkifutiskentälle en enää palannut... vaikka asia edelleenkin kiinnostaisi niin perkeleesti. Yläselkätreenit ja penkki ovat olleet hyvin paikallaan junnaavia tuon vamman jälkeen. Onko vastaavasta kokemusta muilla niskan välilevynpullistumasta selvinneillä? Olen kuullut, että melko yleistä tuollainen. Kipuja tulee 2-6 kk välein, mutta menevät ohi 1-4 päivässä lääkkeillä sekä sillä, että palaa sinne salille ja teen tuntemusten mukaan. Pariin kertaan mukana on ollut ponnistuspäänsärkyjä. Rajumpaa takapakkia ei ole tullut, mutta tosiaan tietyt liikkeet ovat hyvin haastavia saada kehittymään.

Tuollainen löytyy, tosin ei vielä ihan ohi ole mennyt. Alkuun oli 2-3kk aika ikävä. Säteili oikeaan käteen. Tunnottomuutta, voimattomuutta ja kipua. Välillä valvotti öisin se kipu. Olisi ehkä voinut nopeammin parantua, jos ei olisi jatkanut sitkeästi kamppailutreeneissä käymistä. Lopulta oli pakko pitää taukoa ja sitten se alkoikin parantua. Se hermosäteily kohdistui oikean käden etusormen ja peukalon alueelle. Oli hankala käyttää hiirtä tai kynää.
 
Älyttömän mahtavaa kuulla, että vois olla 3 kk:n päästä kunnossa. Siihen pyrin ja tää tsemppaa kyl lisää viel harjottaan tuota selkää hulluna. Mä sain sen sillä, kun ambulanssilla tosiaan roudattiin päivystykseen ja osastolle. Osastolle sain jäädä siksi, kun tiesin sanoa, etten autoon pääse vaikka sänky on kotonakin. Sitten seuraavana päivänä lekuri tuli sanomaan, et kun tässä kaks päivää on mua jouduttu lääkitseen huumaavilla napeilla niin täytyy se kuvata ja selvittää, koska 24 v. naisella ei kuulu olla tollasia kipuja. Eli osastollakin kattelin kelloa, koska kehtaan pyytää uutta kipulääkettä, kun säryt oli koko ajan hirveet, ja toiset napeista ei auttanu ollenkaan. Ite en kerennyt edes pyytämään missään vaiheessa kuvia, koska opiskelen sitä alaa, ja tutut on hinnat ja säännöt noissa. Ihan sama ehdottavatko leikkausta, tän hetkisten lukemisien ja olojen perusteella en sitä ota. Kirurgian polilla en oo edes käynyt, vaikka sinne lähete laitettiinki. Soitin sinne viime viikolla, ja sanoivat että se on suoraan muutettu MRI -kuvaks. En valita. :D

Näyttäs tällä hetkellä myös siltä, että ensimmäinen ilta 6 viikkoon kun ei tarvi ottaa mitään lääkettä, et pääsee nukkuun. Tää on yhtäkkiä niin pelottavan paljon kivuttomampi et ihan ymmälläni. Se on sit taas eriasia kun herään kuitenki tuttuun tapaan aamuyöllä kipuun, ja huominen on sitte taas uus päivä ja 10 askelta saattaa mennä vaikka takapakkia.
Mutulla heittäisin, että 90% selkäkivuista tulee kuntoon 2kk sisällä. Mulla toi kuvio oli usein samankaltainen, että aamulla kipu pahimmillaan ja helpotti sitten päivän myötä. Istuminen oli pahinta. Tunnin automatka provosoi kivun niin kovaksi, että autolta sisälle pääsy saattoi kestää puolikin tuntia. Kävely teki hyvää heti kun vaan pystyi kävelemään. Ainoa ero oli sillä kertaa, kun alin lannerangan välilevyistä meni, silloin kävely jostain syystä pahensi kipua. Kyynärsauvat koin hyväksi apuvälineeksi kun niiden avulla pystyi liikkumaan kipeämmässä vaiheessa. Kivahan se varmaan on magneettikuvaa selästä nähdä. Siellähän voi olla vaikka mitä jännää :) Ja sitten, jos onkin jotain löydöstä, niin sitten täytyy vielä arpoa onko se oireiden aiheuttaja. Taitaa terveistäkin selistä kuvaamalla löytyä jokatoisesta jotain löydöksiä
 
Juu ei pelkoo, että tää terve selkä ois. :) Ja näin tää heittelee, että tänään taas huonompi päivä. Tiedossa on hyvinkin, että MRI ylidiagnisoi. Onko kellään tiedossa näihin välilevyongelmiin perehtynyttä fysioterapeuttia Tampereelta? McKenzie menetelmällä mua on aiemmin hoidettu, et vaikka semmonen.
 
Voiko olla välilevyongelma, jos itse selässä ei tunnu mitään kipuja, mutta iskias vaivaa siten, että oikeassa takareidessä tuntuu sellainen puristava tunne? Ja aina kumartuessa pakarassa vihlasee. Sukan laittaminen oikeaan jalkaan on epämukavaa ja erittäin vaivalloista, tuntuu pakarassa ja takareidessä. Vai onko oletettavaa, että hermo on vaan jumissa jossain pakaran alueella? Tää on enemmänkin epämukavaa kuin varsinaisesti kivuliasta...
 
Voiko olla välilevyongelma, jos itse selässä ei tunnu mitään kipuja, mutta iskias vaivaa siten, että oikeassa takareidessä tuntuu sellainen puristava tunne? Ja aina kumartuessa pakarassa vihlasee. Sukan laittaminen oikeaan jalkaan on epämukavaa ja erittäin vaivalloista, tuntuu pakarassa ja takareidessä. Vai onko oletettavaa, että hermo on vaan jumissa jossain pakaran alueella? Tää on enemmänkin epämukavaa kuin varsinaisesti kivuliasta...

Kyllähän siellä jotain yleensä tuossa vaiheessa on. Tai sitten hermo muuten "jumissa". Ajan työssäni todella paljon autolla ja kärsin tuon tyyppisistä jutuista tuossa 3 vuotta sitten. Venyttely, monipuolinen jalkatreeni (pakarat mukaan lukien) ja alaselkätreeni sekä ajoasentoa korjaava alaselkätuki autoon korjasivat tilanteen aika nopeasti. Mulla etenki jo pohkeeseen tuo puristava tunne. Nykyään on pysynyt kaukana nuo tuntemukset, koska treenini on vuodesta toiseen monipuolista; alaselkä, pakarat ja reidet ovat hyvin mukana treeniohjelmissa aina. Ei pelkkää penkkiä, vaikka ne salin kovimmat jätkät niin tekeekin :puntti:
 
Voiko olla muuta paskana selässä ku lihaskipu jos jaloissa ei ole kipua. Koska olen ymmärtänyt lääkäriltä että jos ei oo jaloissa kipu niin ei voi olla mikään välilevypullistuma tai nikama menny paikalta... Osaako kuka sanoa mitään?
 
Kyllähän siellä jotain yleensä tuossa vaiheessa on. Tai sitten hermo muuten "jumissa". Ajan työssäni todella paljon autolla ja kärsin tuon tyyppisistä jutuista tuossa 3 vuotta sitten. Venyttely, monipuolinen jalkatreeni (pakarat mukaan lukien) ja alaselkätreeni sekä ajoasentoa korjaava alaselkätuki autoon korjasivat tilanteen aika nopeasti. Mulla etenki jo pohkeeseen tuo puristava tunne. Nykyään on pysynyt kaukana nuo tuntemukset, koska treenini on vuodesta toiseen monipuolista; alaselkä, pakarat ja reidet ovat hyvin mukana treeniohjelmissa aina. Ei pelkkää penkkiä, vaikka ne salin kovimmat jätkät niin tekeekin :puntti:

Nyt on taas vaiva päällä. Ihan samanlaista kuin Nannaxilla. Nukkumiseen ei vaikuta onneksi mutta treenimotivaatio meni täysin, kun tuntuu et taas ollaan ihan romuna. Oikean jalan nostaminen 90 asteeseen seisten aiheuttaa kipua mutta se ei ole kovin pahaa, koska sen jalan kyllä sinne saa ilman tajun menetystä.

Tätä nyt jatkunut noin 7 päivää ja reenaaminen loppui kuin seinään. Pitäisi varmaan mennä niin tulisi taas kuntoonkin.
 
Minulla oli 4,5 vuotta sitten niskassa pieni, mutta aktiivinen pullistuma. Toinen käsi oli hyvin voimaton joitain viikkoja. Fyysisestä työstä ja salilta tuli olla vain 5 viikkoa pois ja sen jälkeen palasin arkeen... tosin askel kerrallaan ja tunnustelen. Jenkkifutiskentälle en enää palannut... vaikka asia edelleenkin kiinnostaisi niin perkeleesti. Yläselkätreenit ja penkki ovat olleet hyvin paikallaan junnaavia tuon vamman jälkeen. Onko vastaavasta kokemusta muilla niskan välilevynpullistumasta selvinneillä? Olen kuullut, että melko yleistä tuollainen. Kipuja tulee 2-6 kk välein, mutta menevät ohi 1-4 päivässä lääkkeillä sekä sillä, että palaa sinne salille ja teen tuntemusten mukaan. Pariin kertaan mukana on ollut ponnistuspäänsärkyjä. Rajumpaa takapakkia ei ole tullut, mutta tosiaan tietyt liikkeet ovat hyvin haastavia saada kehittymään.

Täältä löytyy yks niska vaivanen. Kolme pullistumaa löyty noin 3v sitten ja vasen käsi oli voimaton ja tunnoton noin puol vuotta. Painiin ei uskalla enää mennä, ja muutaman kerran kokeillu paluuta huonoin tuloksin.

Mitä nyt vielä vaivaa niin epäsäännöllinen sormien puutuminen ja terävät liikkeet on myrkkyä. Ja perskele kun sanoit niin penkki on kuin iisakin kirkko.
 
Täältä löytyy yks niska vaivanen. Kolme pullistumaa löyty noin 3v sitten ja vasen käsi oli voimaton ja tunnoton noin puol vuotta. Painiin ei uskalla enää mennä, ja muutaman kerran kokeillu paluuta huonoin tuloksin.

Mitä nyt vielä vaivaa niin epäsäännöllinen sormien puutuminen ja terävät liikkeet on myrkkyä. Ja perskele kun sanoit niin penkki on kuin iisakin kirkko.

Sama keissi.

Joskus painiaikoina monta vuotta sitten mentiin niskojen kautta ympäri oikein kunnolla. Viikko lepoa ja takasin tatamille ja pari vuotta painia niinku ei ois mitään. Siihen puntit sun muut messiin.

Nyt sitten jostain helvetin syystä tein pystypunnerrusta tuettuna salilla tossa viimevuoden loppupuolella, ja kiva naksahdus kuulu rintarangasta/niskasta. Ei siinä vielä mitään, hirveä suojajumi jne. Panacodia pari päivää ja niska palautu entiselleen, mutta jostain syystä alko vihlomaan lapaan, ojentajaan, kämmeneen ja niskaan kun käänteli päätä. Sekin rauhoittu, mutta en missään välissä ole pystynyt kääntään päätä vasemmalle samalla kun kallistan ja ojennan kaularankaa ilman että vihloo ihan sikana.

Nyt parin viikon ajan on oireet pahentunu aivan vitusti. Sattuu jo pelkkä oleminen, vasen käsivarsi on kokoajan joko pistoksissa, puristuksissa, kylmä tai vihloo ja sykkii oudosti. Omakohtaisella koulutuksella, kavereiden konsultilla ja yksityisen fysiatrin tutkimana näkee sokea apinakin persesilmällään että kyseessä on jonkin tason juuriärsytys, ja todennäköisesti rakenneperäinen, koska parin panacodin rentouttamanakin jonkun toisen palpoidessa vihloo.

Olen nyt taistellut itseäni hoitoon julkiselle, kun esikoisen laskettu aika on 3kk päästä ja pitäis pysyä työkykyisenä vielä pitkään. Tämä on yhtä helvettiä, kukaan ei tunnu ottavan mitään tosissaan, ja "en edes pysty nukkumaan kun käy kipeää" saa vastauksen "kuulostaa pahalta, voidaan antaa sulle saikkua jos haluat."

Vittu mitä paskaa, sano.

Vaikeinta ylivoimaisesti tässä on, edelleen, mielenterveyden säilyttäminen.
 
Back
Ylös Bottom